Skip to main content
Inbox and Communicate:
Logo 3 Shape
Logo 3 Dentsply Sirona

ZAHNTECHNIK

Vollkeramikkronen und Vollkeramikbrücken

Mit modernen Hochleistungskeramik wie Zirkonoxid und Lithiumdisilikat lassen sich extrem belastbare und hochästhetische Arbeiten gestalten – individuell, typgerecht, maßgeschneidert.

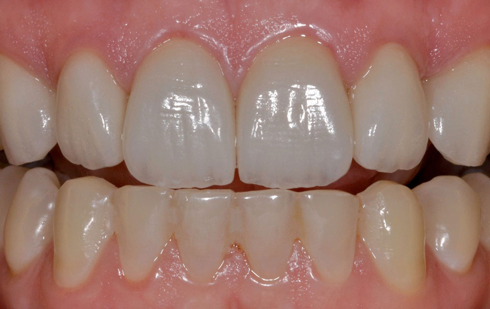
Ästhetische Korrekturen

Metallfrei und minimalinvasiv sind ästhetische und funktionelle Korrekturen, wie Lückenschluss, Verfärbungen oder Bissfehlstellungen mit natürlicher Schönheit zu realisieren.

Kombinationstechnik

Durch digitale Gestaltungs- und Herstellungsverfahren bietet Kombinationstechnik bei größeren Lücken individuelle, komfortable und funktional hochwertige Lösungen mit natürlichem Aussehen.

Implantate

Ob Einzelzahn oder Komplettrestauration, metallfrei, festsitzend oder herausnehmbar – in enger Zusammenarbeit mit Zahnärztinnen und Zahnärzten, digital geplant und designed erreichen wir das perfekte Ergebnis.

Totalprothetik

Sicherheit, Funktion und Natürlichkeit sind die entscheidenden Faktoren.

Schienentherapie

Ob Kiefergelenksbeschwerden, Zahnschutz oder Schlaftherapie, wir haben die richtige Schiene – tiefgezogen, gefräst oder gedruckt.
Wir benutzen Cookies

Wir nutzen Cookies auf unserer Website. Einige von ihnen sind essenziell für den Betrieb der Seite, während andere uns helfen, diese Website und die Nutzererfahrung zu verbessern (Tracking Cookies). Sie können selbst entscheiden, ob Sie die Cookies zulassen möchten. Bitte beachten Sie, dass bei einer Ablehnung womöglich nicht mehr alle Funktionalitäten der Seite zur Verfügung stehen.